補綴専門医が行う
設計型補綴・
インプラント治療
| 診療時間 | 月 | 火 | 水 | 木 | 金 | 土 | 日 |
|---|---|---|---|---|---|---|---|
| 9:00-13:00 | ● | ● | ● | ● | ※ | ● | ━ |
| 14:00-18:00 | ● | ● | ● | ● | ● | ▲ | ━ |
-
保険
取り扱い -
新患・急患
OK -
専門ドクター
在籍
医療機関様へ
インプラント埋入や補綴設計を要する症例のご相談を承っております。
CT診断に基づく治療計画の立案および補綴設計まで含めた包括的な対応が可能です。
地域医療連携の一環としてご活用ください。
information
ウニクス浦和美園からすぐの歯医者
【野川デンタルオフィス浦和美園】
補綴専門医による精密診断
当院では、十分な検査と診断に基づき、
噛み合わせ・機能・審美性を総合的に評価した治療を行っています。
インプラント・セラミック・義歯治療においても、長期安定を見据えた設計型治療を
提供しています。
| 診療時間 | 月 | 火 | 水 | 木 | 金 | 土 | 日 |
|---|---|---|---|---|---|---|---|
| 9:00-13:00 | ● | ● | ● | ● | ※ | ● | ━ |
| 14:00-18:00 | ● | ● | ● | ● | ● | ▲ | ━ |
- 休診日
- 金曜日/日曜日/祝日
- 診療時間
- 9:00~13:00、14:00~18:00
- 【▲】 14:00~17:00
【※】金曜日の午前中は、大学の兼任講師としての指導のため、週により営業しない場合がございます。
急用の場合は事前に電話にてご確認ください。
ウニクス浦和美園からすぐの歯医者
ウニクス浦和美園から
すぐの野川デンタルオフィス浦和美園
〒339-0028
埼玉県さいたま市岩槻区美園東2丁目14−25
TEL: 048-872-7031
最寄駅「浦和美園駅」
concept
設計から考える歯科治療
当院では、補綴専門医として
「長く機能すること」を
最優先に考えた治療を行っています。
歯科治療は、その場しのぎではなく噛み合わせ・力のかかり方・口腔全体のバランスまで設計することで、はじめて長期的な安定が得られます。
インプラントやセラミック治療においても、単に修復するのではなく、将来を見据えた治療計画を立案します。
大学病院で培った補綴学の知識と技術をもとに、再治療の少ない、質の高い治療をこの浦和美園の地で提供してまいります。
機能と審美の両立を目指し、安心して任せていただける歯科医療を実践します。
features
ウニクス浦和美園からすぐの歯医者
【野川デンタルオフィス浦和美園】
当院の6つの特徴
当院では、補綴専門医として噛み合わせ・機能・審美・長期安定を重視した治療を行っています。
インプラントを含む高度補綴治療においても、「埋めること」ではなく「長く機能すること」を大切にしています。
-
01
根本治療を重視した
精密診断十分な診査・診断に基づき、対症療法ではなく原因から改善する治療を行っています。再治療をできる限り防ぐことを目的とした治療計画を立案します。
-
02
補綴専門医による
設計型
補綴・
インプラント治療補綴を専門とする歯科医師が、セラミック修復やインプラント治療において噛み合わせ・力のかかり方・審美性まで考慮した設計型治療を行っています。
-
03
噛み合わせから
逆算する治療計画歯1本だけを見るのではなく、口腔全体の噛み合わせや顎の動きを考慮した上で長期安定を見据えた治療計画を立案します。
-
04
審美性と機能性を
両立した治療見た目の美しさだけでなく、「しっかり噛める」「違和感が少ない」といった機能性を重視した治療を行っています。アートとサイエンスの両立を目指しています。
-
05
精密診断を支える
設備と技術CTによる三次元診断やサージカルガイドなど、精度の高い治療を行うための設備を導入しています。スタッフ一同、常に知識と技術の研鑽を続けています。
-
06
安心して治療を
受けていただくための配慮歯科治療に不安をお持ちの方にも、できる限り痛みや恐怖心を抑えた治療を心がけています。患者さまとの丁寧なコミュニケーションを大切にしています。
ご予約・ご相談はお気軽に
当日急患受付中!
当院では24時間オンライン予約が可能です。
お口の健康に関するご相談やご予約のご質問、
お気軽にお問い合わせください。
doctor
ウニクス浦和美園からすぐの歯医者
【野川デンタルオフィス浦和美園】
院長より皆さまへ
歯周病治療をはじめとして口周りのことでお困りでしたらまずは当院へご相談ください!
院長
接着歯科治療専門医
補綴歯科専門医
野川 博史
歯科治療は、その場しのぎでは本当の解決にはなりません。
私は補綴歯科専門医として、大学病院で長年「噛み合わせ」や「修復設計」を専門に研鑽を積んできました。
歯を削る、埋める、入れる。それ自体は手段に過ぎません。
大切なのは、その治療が10年後、20年後も機能するかどうか。
当院では、対症療法ではなく「設計」から考える治療を行っています。
treatment
ウニクス浦和美園からすぐの歯医者
【野川デンタルオフィス浦和美園】
診療メニュー
当院では、補綴専門医として噛み合わせ・機能・審美・長期安定を重視した設計型治療を行っています。
単に歯を治すのではなく、口腔全体のバランスを考慮しながら再治療の少ない治療計画を立案しています。
浦和美園エリアにとどまらず、専門性を求めて来院される患者様にも対応しています。
-
PICK
UP補綴専門医による 設計型
インプラント
治療歯が抜けた部分に人工歯根を埋入する治療ですが、当院では「埋入すること」を目的とせず、噛み合わせ・力の分散・審美性まで考慮した長期安定を重視した設計型インプラントを行っています。
-
PICK
UP補綴専門医による 機能美を
追求する
セラミック治療見た目の美しさだけでなく、噛み合わせや耐久性まで考慮した補綴設計を行っています。長期的に安定する審美治療を目指します。
-
PICK
UP補綴学の知識に基づいた 精密義歯治療
大学病院での経験を活かし、咬合・顎運動・装着感まで考慮した義歯設計を行います。
-
PICK
UP将来的な補綴・
インプラント治療も見据えた 根本的歯周治療歯周組織の安定なくして長期的な補綴治療は成立しません。当院では土台づくりから丁寧に行います。
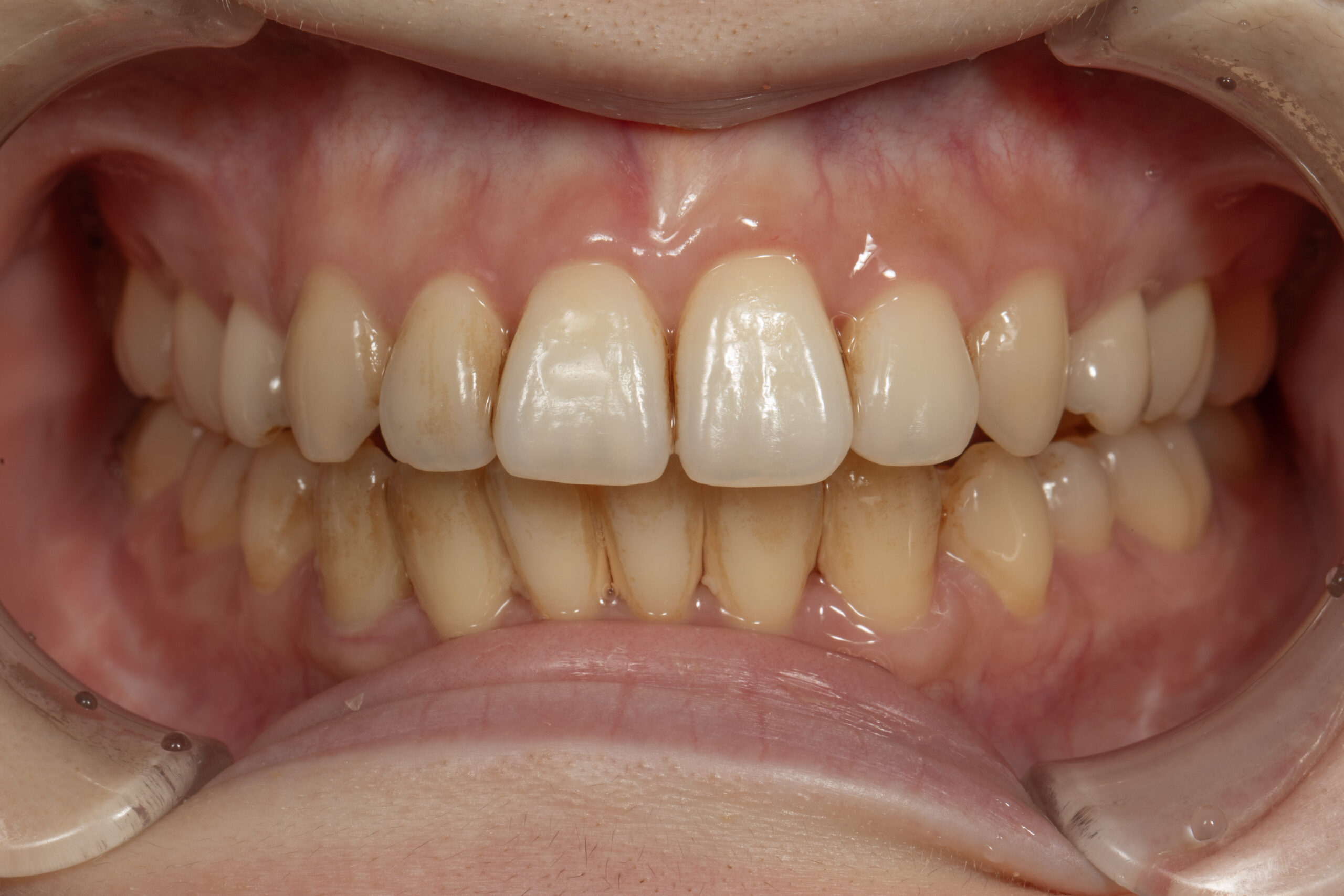
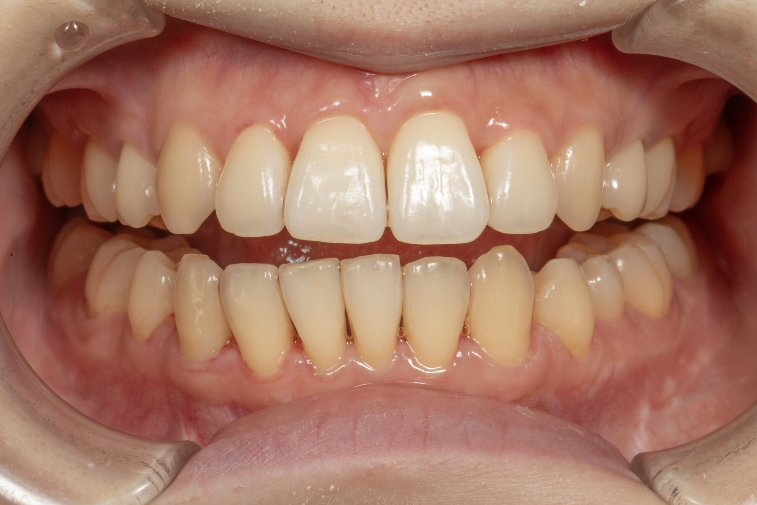
case
ウニクス浦和美園からすぐの歯医者
【野川デンタルオフィス浦和美園】
症例紹介
furniture
ウニクス浦和美園からすぐの歯医者
【野川デンタルオフィス浦和美園】
精密外科処置を支える設備体制
当院では、インプラントをはじめとする外科処置に対応するため、三次元的な診断と精密な手術を可能にする
設備を導入しています。
CTによる立体的診断、サージカルガイドを用いた精密埋入、滅菌管理を徹底したクリーンな手術環境。
安全性と再現性を重視し、長期安定を見据えた治療を実現するための体制を整えています。
補綴専門医としての診断力と、それを支える設備環境の両立を大切にしています。
ご予約・ご相談はお気軽に
当日急患受付中!
当院では24時間オンライン予約が可能です。
お口の健康に関するご相談やご予約のご質問、
お気軽にお問い合わせください。




































































