噛み合わせ治療
噛み合わせについて

当院の噛み合わせ治療
(咬合・補綴再構築)の特徴
そもそも「咬合・補綴再構築」とは、崩れた噛み合わせを補綴治療で再設計して作り直すことを言います。
当院では院長の野川博史が補綴歯科専門医として、咬合(噛み合わせ)を中心に治療計画を立てています。
歯科治療では歯1本だけを見るのではなく、
- 歯列全体のバランス
- 顎の動き
- 筋肉の働き
- 歯にかかる力
を総合的に評価することが重要です。
インプラントやセラミック治療でも、単に歯を入れるだけではなく、咬合設計を行ったうえで治療を行うことで、長期的に安定した治療結果を目指しています。
噛み合わせが悪いことによる
身体への影響
噛み合わせのバランスが崩れると、歯や顎関節だけでなく様々な症状が現れることがあります。
症状として例えば以下のようなものがあります。
- 歯の破折
- 詰め物や被せ物の脱離
- 顎関節の痛み
- 口が開きにくい
- 咀嚼時の違和感

また、強い噛みしめや歯ぎしりが続くと、歯や補綴物に過剰な力が加わり、治療の寿命を短くしてしまう原因になることもあります。
そのため、当院では治療の際に噛み合わせの状態も丁寧に確認しています。
噛み合わせ治療が
必要な方の特徴

次のような症状がある方は、噛み合わせに問題がある可能性があります。
- 顎が痛い、音が鳴る
- 口が開きにくい
- 歯がすり減っている
- 歯ぎしりや食いしばりを指摘された
- 詰め物や被せ物がよく外れる
- 歯が欠けることがある
このような症状がある場合は、噛み合わせの診査を行い、必要に応じて適切な治療をご提案します。
噛み合わせ治療の流れ
問診・症状の確認
まず現在の症状やお困りごとを詳しくお伺いします。
顎の痛みや違和感、口が開きにくい、歯ぎしり・食いしばりの有無などを確認し、噛み合わせに関わる生活習慣についてもお聞きします。

口腔内診査・写真撮影
口腔内の状態を詳しく確認し、歯のすり減りや破折、被せ物の状態、歯列や噛み合わせのバランスを評価します。
また、口腔内写真や顔貌写真を撮影し、
口を閉じた状態・開けた状態・噛み合わせた状態などを記録することで、客観的な診断資料として分析します。

レントゲン・CTによる精密診断
必要に応じてレントゲン撮影や歯科用CTを用いて、歯や顎関節、骨の状態を三次元的に確認します。
顎関節の形態や骨の状態、歯根の位置などを把握することで、
噛み合わせに影響している原因を多角的に評価します。

治療計画の立案
診査資料をもとに、
- 歯の接触関係
- 顎の動き
- 歯にかかる力のバランス
などを総合的に分析します。
補綴歯科専門医として、咬合(噛み合わせ)を中心に口腔全体のバランスを考慮した治療計画を立案します。

治療・経過観察
症状や原因に応じて
- マウスピース(ナイトガード)治療
- 咬合調整
- 補綴治療
(被せ物・インプラント・義歯など)
を行い、噛み合わせのバランスを整えていきます。
治療後も定期的に状態を確認し、
長期的に安定した噛み合わせを維持できるよう経過観察を行います。

歯ぎしりについて

歯ぎしりとは
歯ぎしりとは、睡眠中や無意識のうちに歯を強くこすり合わせたり、強く噛みしめたりする習慣のことを指します。
多くの場合、ご本人が気づかないうちに起こっていることが多く、歯や顎関節に大きな負担がかかる原因になり、噛み合わせにも影響が出ることがあります。
歯ぎしりが起こる原因
歯ぎしりの原因は一つではなく、
- ストレス
- 噛み合わせの問題
- 生活習慣
- 睡眠の状態
など様々な要因が関係すると言われています。
そのため、原因を総合的に評価しながら対応していくことが重要です。
歯ぎしりを放置することで起こる
二次障害
歯がすり減ったり、欠けたりすることがあります。
また、詰め物や被せ物が破損する原因になることもあります。

歯の周りの組織への影響
歯に過剰な力がかかることで、歯周組織に負担がかかり、歯周病の進行に関与する可能性もあります。
顎関節への影響
顎関節に負担がかかることで
- 顎の痛み
- 関節音
- 開口障害
などの症状が起こることがあります。
歯ぎしりの主な種類
歯のこすり合わせ
(グラインディング)
歯を強くこすり合わせるタイプの歯ぎしりです。
歯がすり減る原因になります。
歯の噛みしめ(クレンチング)
歯を強く噛みしめるタイプで、顎の筋肉に大きな負担がかかります。
歯を鳴らす(タッピング)
歯をカチカチと鳴らすタイプの歯ぎしりです。
歯ぎしりの治療方法
歯ぎしりの治療では、主に
- マウスピース(ナイトガード)
- 噛み合わせの調整
- 生活習慣の改善
などを行います。
歯や補綴物を守るためにも、早めの対応が大切です。
歯ぎしりセルフチェック

次のような症状がある場合は、歯ぎしりをしている可能性があります。
- 朝起きたとき顎がだるい
- 歯がすり減っている
- 頬の内側に歯型がついている
- 舌の縁に歯型がある
- 家族から歯ぎしりを指摘された
気になる症状がある場合は、歯科医院での診査をおすすめします。
症例
遺伝性エナメル質形成不全による
咀嚼障害に対する
全顎セラミック治療の症例
主訴
大学病院小児歯科専門医より、遺伝性エナメル質形成不全による咀嚼障害の患者様をご紹介いただきました。
診査・診断
遺伝性エナメル質形成不全は、歯の表面のエナメル質が正常に形成されない先天的な疾患で、
- 歯が欠けやすい
- 咬み合わせが崩れる
- 咀嚼しにくい
- 歯の見た目にコンプレックスがある
といった症状が生じることがあります。
本症例では歯の摩耗や破折が進行し、咀嚼機能の低下と咬合の崩壊が認められました。
治療方針
詳細な咬合分析を行い、全顎的な咬合再構成治療(Full Mouth Rehabilitation)を行いました。
治療の流れ(写真つきで掲載)
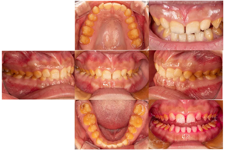
治療前の状態
エナメル質形成不全により歯質が弱く、
歯の咬耗や破折が認められました。
また、咬み合わせの高さ(咬合高径)の低下も認められ、十分な咀嚼が困難な状態でした。

咬合分析と
診断用ワックスアップ
まず咬合器を用いた咬合分析を行い、理想的な咬合関係をシミュレーションしました。
その結果をもとに診断用ワックスパターン(Diagnostic Wax-up)を作製し、最終的な歯の形態と咬み合わせを設計しました。

スプリントによる顎位の確認
咬み合わせの位置を安全に変更するため、スプリント療法を行い顎関節と咀嚼筋の状態を確認しました。
顎位の安定を確認したうえで、最終補綴へと移行しています。

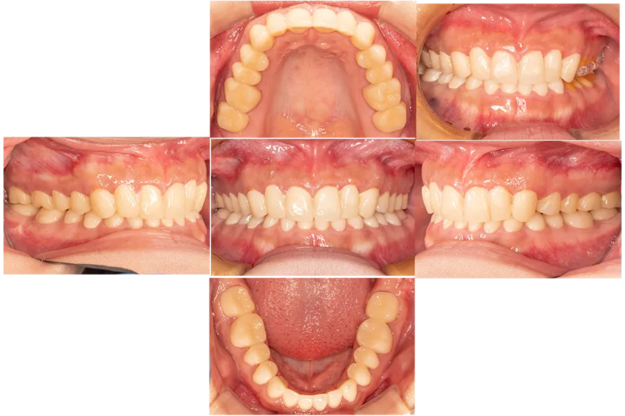
プロビジョナル
レストレーション
診断用ワックスアップをもとに、全顎プロビジョナルレストレーション(仮歯)を装着しました。
この期間に
- 咬合の安定
- 咀嚼機能
- 発音
- 審美性
を確認し、最終補綴の形態を決定します。

支台歯形成・精密印象
プロビジョナルで咬合が安定したことを確認後、全顎の支台歯形成を行い精密印象を採得しました。

ジルコニアフレーム試適
最終補綴としてジルコニアフレームを使用したセラミッククラウンを製作しました。
口腔内で適合と咬合を確認し、(ジルコニア試適写真)問題がないことを確認してから最終装着を行いました。

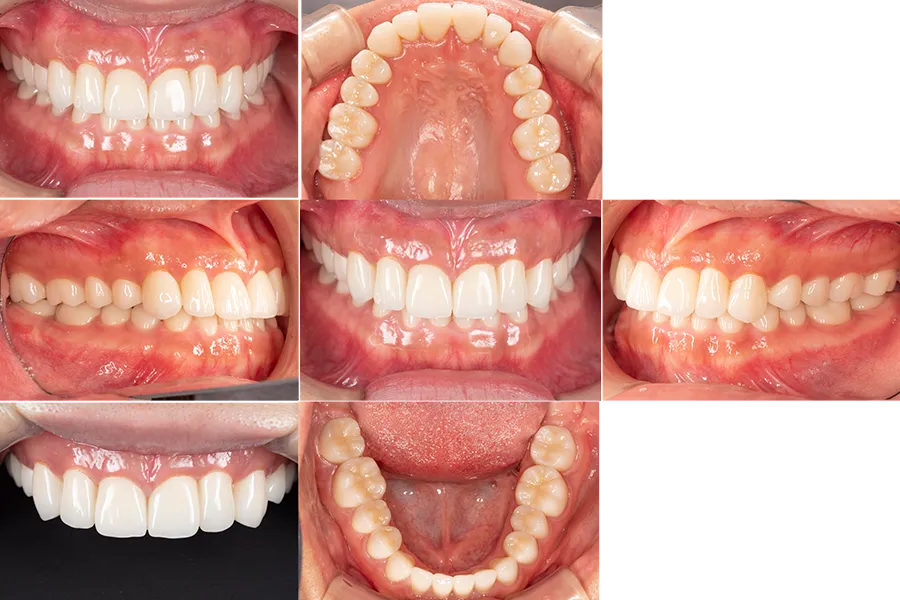
治療後
全顎セラミッククラウンにより
- 咀嚼機能の回復
- 咬み合わせの安定
- 審美性の改善
が得られました。

セファロ分析による評価
本症例では治療前後でセファロ分析を行い、咬合高径の変化や顎顔面バランスの変化を評価しました。
術前にはやや下顎の前突傾向があった状態が咬合挙上により改善され、側貌が改善されています。

治療費
| 全顎セラミック クラウン治療 | 臼歯110,000円 x16本(税込) 前歯132,000円 x12本(税込) |
※歯数や治療内容により変動します
治療期間
約7か月(咬合状態の経過確認の期間含む)
リスク・副作用
- 歯の神経の治療が必要になる可能性があります
- セラミックが破損する可能性があります
- 咬合変化により顎関節に違和感が生じる場合があります
- 定期的なメンテナンスが必要です
当院の咬合再構成治療について
当院では、単に歯を被せる治療ではなく、
- 咬合分析
- 診断用ワックスアップ
- スプリント療法
- プロビジョナルによる検証
を行いながら、機能と審美性の両立した治療を目指しています。
咬み合わせでお悩みの方はお気軽にご相談ください。
治療を検討中の患者様へ

当院では補綴歯科専門医として、噛み合わせを中心に口腔全体を診断し、長期的に安定する治療を重視しています。
インプラント治療やセラミック治療においても、噛み合わせを考慮した設計を行うことで、再治療の少ない治療を目指しています。
どんな些細なことでもお気軽にご相談ください。