PMTC(プロフェッショナルクリーニング)
症例概要
- 30代 女性
- 主訴:歯の着色・くすみが気になる
- 治療内容:自費PMTC(90分コース)
- 治療期間:1日
- 費用:12100円(税込)
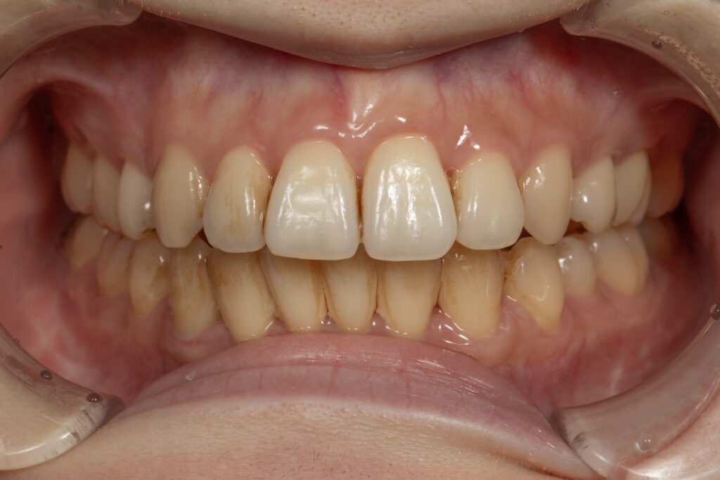
術前
コーヒー・紅茶によるステインの付着が前歯部を中心に認められました。
歯肉に大きな炎症はないものの、プラークの停滞と軽度の着色が確認されました。

施術内容
当院では以下の工程でPMTCを行っています。
・ プラーク・バイオフィルムの除去
・エアフローによる微細着色の除去
・ 専用ペーストによる段階的ポリッシング
・歯肉マッサージ
・ 高濃度フッ素塗布
歯面を傷つけないよう、研磨剤は粒子サイズを選択し段階的に使用しています。
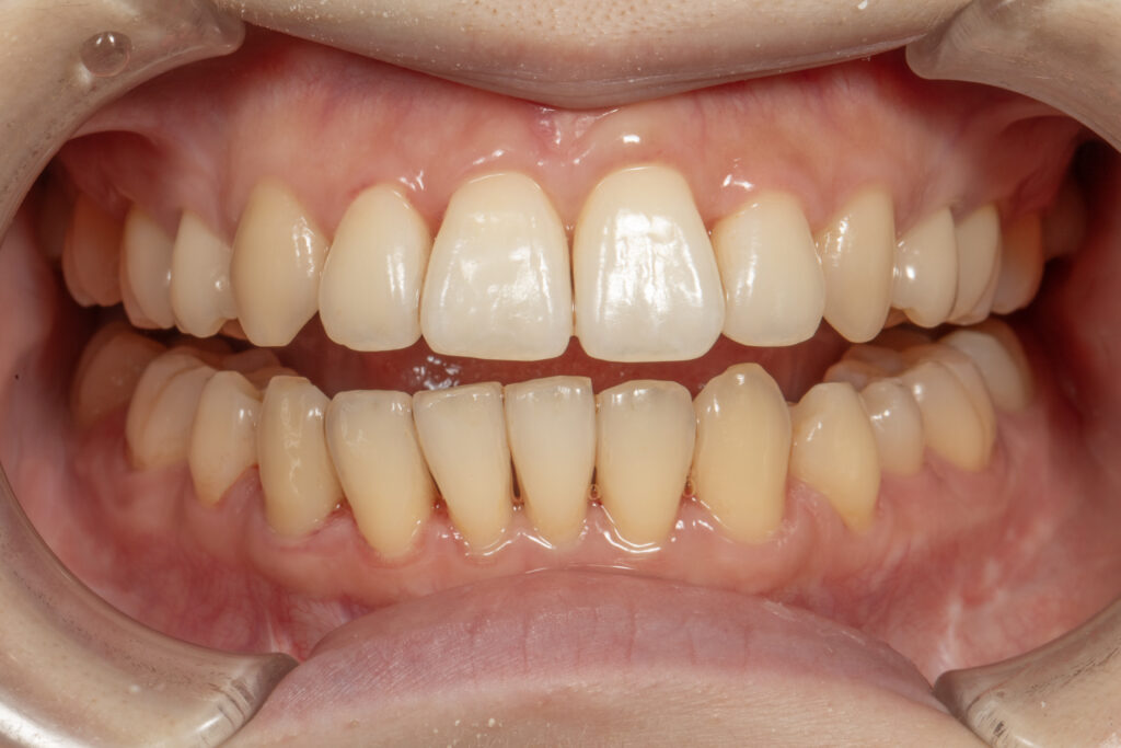
術後
歯本来の自然な明るさが回復し、表面のツヤ感も向上しました。
患者様からは「歯がつるつるして気持ちいい」「口の中が軽くなった感じがする」
とのご感想をいただきました。

リスク・副作用
・一時的に知覚過敏症状が出ることがあります
・歯肉に軽度の刺激感を生じることがあります
・着色の再付着は生活習慣により起こります
当院のPMTCの特徴
当院では単なる“歯石取り”ではなく、
審美性と予防を両立させたメンテナンスケアを行っています。
・バイオフィルム除去を重視
・研磨剤を段階的に使用
・歯肉の血流改善を目的としたマッサージ
・予防歯科の観点からのアドバイス
「歯を白くする」のではなく、
本来の透明感を引き出すケアです。
